Leistungen des Meisterlabors

Was ist ein Dentallabor?

Im Haus der Zahnmedizin Braunschweig profitieren Patientinnen und Patienten von einem integrierten Meisterlabor für Zahntechnik, das sich direkt in der Praxis befindet. Das moderne Labor ermöglicht höchste Präzision, kurze Wege und eine enge Abstimmung zwischen Zahnärzten und Zahntechnikermeistern. So sind ästhetische, zuverlässige und funktionale Ergebnisse auf höchstem Niveau möglich.

Vorteile des hausinternen Meisterlabors:

  • Schnelle Fertigung und kurze Wege
  • Direkte Kommunikation zwischen Zahnarzt, Zahntechniker und Patient
  • Höchste Qualitätsstandards durch meistergeführte Zahntechnik
  • Individuelle Lösungen für Ästhetik und Funktion

Dentallabor Braunschweig – Präzision und Ästhetik aus einer Hand

In unserem hauseigenen Meisterlabor fertigen wir in enger Zusammenarbeit mit den behandelnden Zahnärzten individuellen Zahnersatz. Durch die direkte Kommunikation entstehen Lösungen, die nicht nur funktional, sondern auch ästhetisch perfekt auf das Lächeln abgestimmt sind. Farb- und Formänderungen können sofort vor Ort vorgenommen werden, sodass ein natürliches und harmonisches Ergebnis erzielt wird.

Zahntechnische Leistungen des Meisterlabors von Zahnarzt Dr. Rüffert

  • Inlays und Onlays (Keramik oder Gold): Hochpräzise Einlagefüllungen, langlebig, besonders ästhetisch bei Keramik. Perfekte Passung, reduziert Plaqueretention und schützt Zahnsubstanz.
Inlays / Onlays aus Keramik oder Gold
  • Veneers: Dünne Keramikverblendschalen, vor allem im Oberkiefer-Frontzahnbereich – zur Ästhetiksteigerung (Farb- und Formkorrektur) eingesetzt.
Veneers
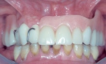
  • Herausnehmbarer Zahnersatz: Mit besonderen Haltesystemen wie Präzisionsgeschieben oder Teleskopkronen – ohne sichtbare Klammern, ästhetisch und komfortabel.
Herausnehmbarer Zahnersatz
Herausnehmbarer Zahnersatz ohne Klammern
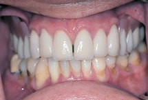
  • Festsitzender Zahnersatz (Kronen & Brücken): Mit oder ohne metallische Komponenten, auch metallkeramisch oder vollkeramisch. Ideal, wenn Stabilität und Ästhetik gefragt sind.
Festsitzender Zahnersatz
  • Vollkeramische Kronen/Brücken (z. B. Zirkonoxid): Metallfrei, sehr natürlich im Erscheinungsbild, allergiefreundlich und ästhetisch anspruchsvoll.
Vollkeramische Kronen und Brücken
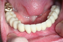
  • Implantatgetragener Zahnersatz: Ob Einzelzahnersatz oder komplexe Restaurationen – das Meisterlabor unterstützt Implantatversorgungen, auch für Brücken oder Teil-/ Vollprothesen.
Implantatgetragener Zahnersatz
Zahnersatz für Einzelzähne
Zahnersatz bei komplexer Restauration
Implantatgetragener Zahnersatz - Zahnarzt Braunschweig
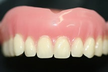
  • Totalprothetik: Kompletter Zahnersatz, bei Zahnverlust im Ober- und/oder Unterkiefer. Individuelle Zahnaufstellung und natürliches Gesamtbild.
Totalprothese
  • herkömmliche Zahnaufstellung
Herkömmliche Zahnaufstellung
  • Reparaturen & Sonderanfertigungen: Schnelle Reparaturarbeiten, z. B. bei Schäden an Kronen oder Prothesen. Außerdem Anfertigung spezieller Lösungen – alles nach Maß und individuell.
  • Knirscher-/Aufbiss-Schienen: Zum Schutz der Zähne bei Bruxismus oder zur Entlastung des Kiefergelenks. Maßgefertigt für besten Tragekomfort.
  • Individuelle Zahnfarbbestimmung: Farblich exakte Zuordnung der Materialien – sowohl für Kronen, Brücken als auch für Veneers und andere sichtbare Versorgungen.

Wie wird Zahnersatz hergestellt?

Die Herstellung von Zahnersatz ist ein präziser Prozess, bei dem moderne Zahnmedizin und Zahntechnik eng zusammenarbeiten. Hier sind die entscheidenden Schritte für Sie als Zahnarztpatient zusammengefasst:

  1. Untersuchung & Planung
  2. Abformung oder digitales Scannen
  3. Herstellung im Dentallabor
  4. Anprobe & Anpassung
  5. Eingliederung
  6. Nachsorge & Pflege

Zahntechnik und Zahnmedizin Hand in Hand

Das Meisterlabor der Zahnarztpraxis „Haus der Zahnmedizin“ in Braunschweig steht für höchste Qualität, Ästhetik und Patientennähe. Durch die enge Zusammenarbeit von Praxis und Labor entstehen ideale Voraussetzungen für langlebigen Zahnersatz in Perfektion. Ob Inlays, Veneers, Implantatversorgungen oder Prothesen – hier werden Zahntechnik und Zahnmedizin optimal verbunden, um Ihnen die bestmöglichen Lösungen zu bieten. Patienten profitieren von einer Rundumversorgung: von der individuellen Beratung über die präzise Behandlung bis hin zur maßgefertigten Anfertigung des passenden Zahnersatzes. Wer Wert auf Präzision, Komfort und persönliche Betreuung legt, findet im Meisterlabor des „Haus der Zahnmedizin“ in Braunschweig hervorragende Leistungen.

Vereinbaren Sie jetzt Ihren Termin im Haus der Zahnmedizin Braunschweig – für ästhetischen, langlebigen Zahnersatz aus unserem Meisterlabor.